Λύσεις Πλαστικής χειρουργικής

Φορητές, ασύρματες κεφαλές υπερήχου, υψηλής ανάλυσης για άμεση, ακριβή διάγνωση παντού.

Διάγνωση χωρίς καλώδια

Οι ασύρματες κεφαλές υπερηχογραφίας MedBridge Echo Wave για τον σύγχρονο πλαστικό χειρουργό μπορεί να έχει σημαντικά οφέλη. Επιτρέπει την άμεση και εύκολη εκτίμηση πολλαπλών ιατρικών καταστάσεων με έγκυρη διάγνωση.

Για τον πλαστικό χειρουργό που θέλει ακρίβεια και ασφάλεια.

Οι ασύρματες κεφαλες υπερήχου της εταιρείας MedBridge για τους πλαστικούς χειρουργούς δεν είναι πια τεχνολογικό προνόμιο του μέλλοντος, είναι μια επαναστατική αλλαγή που ήδη διαμορφώνει το παρόν της ειδικότητας. Πρόκειται για ένα υπέρ εργαλείο που προσφέρει τη δυνατότητα άμεσης, υψηλής ευκρίνειας απεικόνισης του ανθρώπινου σώματος, χωρίς ακτινοβολία, χωρίς χρονοβόρες εξετάσεις και – κυρίως – χωρίς την ανάγκη του ασθενούς να μετακινηθεί από την καρέκλα ή το εξεταστικό τραπέζι.

Οι φορητές, ασύρματες κεφαλες υπερήχου της εταιρείας MedBridge μεταφέρουν την τεχνολογία POCUS (Point‑of‑Care Ultrasound) στο ιατρείο του πλαστικού χειρουργού και αλλάζουν ριζικά τον τρόπο με τον οποίο προετοιμάζονται, εκτελούνται και παρακολουθούνται επεμβάσεις.
Η σύγχρονη βιβλιογραφία επιβεβαιώνει ότι η άμεση, υψηλής ανάλυσης απεικόνιση μαλακών μορίων, αγγείων και ενθεμάτων βελτιώνει τόσο τη διαγνωστική ακρίβεια όσο και την ασφάλεια των αισθητικών και επανορθωτικών πράξεων, χωρίς ιονίζουσα ακτινοβολία και με ελάχιστο κόστος.
Στην επανορθωτική χειρουργική, οι γιατροί μπορούν πλέον να εντοπίσουν με απόλυτη ακρίβεια τα αγγεία που θα τροφοδοτήσουν έναν δερματικό κρημνό, κυριολεκτικά μέσα σε λίγα λεπτά, και να σχεδιάσουν την επέμβαση χωρίς την ανάγκη αξονικής αγγειογραφίας ή άλλων εξετάσεων που συχνά απαιτούν σκιαγραφικά και έκθεση σε ακτινοβολία. Η σύγχρονη επιστημονική βιβλιογραφία τεκμηριώνει ότι αυτή η προσέγγιση είναι όχι μόνο αποτελεσματική, αλλά και ασφαλής – μειώνοντας τις επιπλοκές και βελτιώνοντας τη διάρκεια ζωής των μοσχευμάτων.
Στην αισθητική χειρουργική, η φορητή κεφαλή υπερήχου MedBridge Echo Wave αλλάζει ριζικά τον τρόπο με τον οποίο εκτελούνται οι ενέσιμες θεραπείες, όπως τα fillers. Ο πλαστικός χειρουργός μπορεί να «δει» ακριβώς πού βρίσκεται το αιμοφόρο αγγείο, πού τοποθετείται το υλικό και να καθοδηγήσει με ακρίβεια ακόμα και αντίδοτα, όπως η υαλουρονιδάση, σε περίπτωση επιπλοκών. Σε έναν τομέα όπου η ακρίβεια κάνει τη διαφορά ανάμεσα στο άψογο αποτέλεσμα και τη σοβαρή επιπλοκή, η υπερηχογραφία προσθέτει ένα κρίσιμο επίπεδο ασφάλειας.
Στην περίπτωση των ενθεμάτων σιλικόνης, ειδικά στο στήθος, η χρήση φορητής κεφαλής MedBridge Echo Wave προσφέρει στον γιατρό τη δυνατότητα να ελέγξει τη θέση και την ακεραιότητα των ενθεμάτων σε πραγματικό χρόνο, στο ιατρείο, χωρίς την ανάγκη για μαγνητική τομογραφία. Ειδικά για τις γυναίκες που ανησυχούν για «σιωπηλές» ρήξεις, αυτή η τεχνολογία γίνεται όπλο καθησυχασμού και πρόληψης.
Ακόμα και στη λιπομεταφορά – μια από τις πιο μοντέρνες τεχνικές της πλαστικής χειρουργικής – η υπερηχογραφία επιτρέπει την έγχυση του λίπους σε ακριβές επίπεδα ιστού, μειώνοντας τον κίνδυνο για σοβαρές επιπλοκές, όπως λιποεμβολή. Επιπλέον, επιτρέπει στον γιατρό να παρακολουθεί σε επόμενα στάδια αν το μόσχευμα έχει επιβιώσει, μέσω απεικόνισης της αγγείωσής του.
Αυτό όμως που κάνει τη φορητή υπερηχογραφία της MedBridge πραγματικά επαναστατική είναι η ευελιξία της. Ο γιατρός μπορεί να πραγματοποιήσει εξέταση στο ιατρείο, στο χειρουργείο, ακόμη και κατ’ οίκον, συνδέοντας την κεφαλή σε ένα smartphone ή tablet, αποθηκεύοντας τις εικόνες ή τις στέλνοντας για απομακρυσμένη εκτίμηση. Για πρώτη φορά, η υπερηχογραφική πληροφορία γίνεται τόσο προσβάσιμη όσο η κάμερα του κινητού.
Σήμερα, περισσότερο από ποτέ, ο πλαστικός χειρουργός χρειάζεται εργαλεία που ενισχύουν την ακρίβεια, την ασφάλεια και την εμπιστοσύνη. Η φορητή κεφαλή υπερήχου προσφέρει όλα αυτά, επιστημονικά τεκμηριωμένα και κλινικά αναγκαία. Δεν πρόκειται απλώς για τεχνολογική καινοτομία· πρόκειται για μια νέα εποχή στην πλαστική χειρουργική.
Για τις ασθενείς με ενθέματα μαστού, ο υπέρηχος χειρός αναγνωρίζει τόσο τις «σιωπηλές» ενδοκαψικές ρήξεις όσο και διαφυγές σιλικόνης με διαγνωστική ακρίβεια έως 96 % – ευρήματα που συγκρίνονται ευνοϊκά με την MRI, αλλά με κλάσμα του κόστους και χωρίς κλειστοφοβία ή μεταλλικούς περιορισμούς· γι’ αυτό και οι πρόσφατες οδηγίες τον προτείνουν ως πρώτη γραμμή ελέγχου στο ιατρείο.
Με βάση τα παραπάνω, η φορητή υπερηχογραφία δεν συνιστά απλώς βελτίωση της άνεσης, αλλά μια επιστημονικά τεκμηριωμένη προσθήκη που αναβαθμίζει τη σχεδίαση, την εκτέλεση και την παρακολούθηση των επεμβάσεων πλαστικής χειρουργικής, βελτιώνοντας μετρήσιμα την ασφάλεια, τα λειτουργικά αποτελέσματα και την ικανοποίηση των ασθενών.
Ένας πλαστικός χειρουργός μπορεί να αξιοποιήσει μια ασύρματη κεφαλή υπερηχογραφίας σε ένα εντυπωσιακά ευρύ φάσμα διαγνωστικών και θεραπευτικών εφαρμογών, καλύπτοντας τόσο την επανορθωτική όσο και την αισθητική χειρουργική.
Οι βασικότερες από αυτές περιλαμβάνουν:
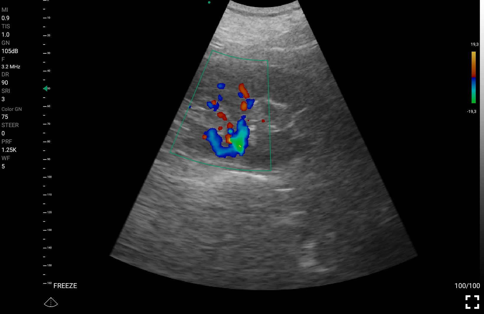
  • Χαρτογράφηση αγγείων (Doppler mapping): Απαραίτητη πριν από επεμβάσεις με κρημνούς (π.χ. DIEP, ALT), για τον εντοπισμό διατιτρώντων αγγείων και τον σχεδιασμό μικροχειρουργικών αποκαταστάσεων.
  • Παρακολούθηση κρημνών μετά από μικροχειρουργική: Απεικόνιση της αιμάτωσης, πρώιμη ανίχνευση θρόμβωσης ή φλεβικής συμφόρησης, ακόμα και με contrast-enhanced ultrasound (CEUS), όπου εφαρμόζεται.
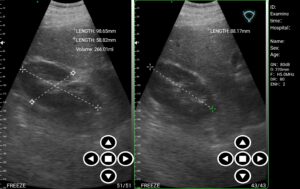
  • Έλεγχος ενθεμάτων σιλικόνης: Αξιολόγηση ακεραιότητας (ρήξη, μετατόπιση, διαρροή), πάχους κάψας και ανίχνευση συλλογών (seromas, hematomas).
  • Απεικόνιση λιπώδους ιστού σε λιπομεταφορές: Καθοδήγηση της έγχυσης για αποφυγή διείσδυσης σε μυ ή αγγείο, επιβεβαίωση επιπέδου έγχυσης, παρακολούθηση της επιβίωσης του μοσχεύματος.
  • Οπτικοποίηση αγγείων σε αισθητικές ενέσεις (fillers, botox): Αποφυγή επιπλοκών (π.χ. ενδοαγγειακή έγχυση), εντοπισμός υλικού πλήρωσης και καθοδηγούμενη διάλυση με υαλουρονιδάση.
  • Ανίχνευση συλλογών και φλεγμονών: Εντοπισμός οροαιματωμάτων, αποστημάτων ή νεκρωμένων περιοχών μετά από επεμβάσεις, π.χ. βλεφαροπλαστική, λιποαναρρόφηση ή αυξητική μαστών.
  • Καθοδήγηση παρεμβάσεων (interventional ultrasound): Υπερηχογραφικά καθοδηγούμενη αναρρόφηση συλλογών, βιοψία μαλακών μορίων, ή έγχυση φαρμάκων (π.χ. κορτικοστεροειδή σε υπερτροφικές ουλές).
  • Αξιολόγηση ουλώδους ιστού ή εν τω βάθει βλαβών: Εκτίμηση πάχους, έκτασης και αιμάτωσης υπερτροφικών ή κελοειδών ουλών, καμένων περιοχών και μαλακών όγκων.
  • Εκτίμηση τραυματισμών προσώπου ή άκρων: Άμεσος έλεγχος αιμάτωσης, τραυματισμένων αγγείων ή ξένων σωμάτων (π.χ. θραύσματα) πριν από χειρουργική αποκατάσταση.
  • Τεκμηρίωση αισθητικών παρεμβάσεων: Απεικονιστική καταγραφή πριν και μετά από αισθητικές θεραπείες για ιατρικούς και νομικούς σκοπούς.
Οι ασύρματες κεφαλές της MedBridge συνδυάζουν φορητότητα, υψηλή ευκρίνεια και ευκολία χρήσης, καθιστώντας την ιδανική για το ιατρείο, το χειρουργείο και την κατ’ οίκον παρακολούθηση. Είναι ένα πολυεργαλείο που αυξάνει την ακρίβεια, μειώνει τις επιπλοκές και προσφέρει στους πλαστικούς χειρουργούς μια νέα διάσταση στον τρόπο με τον οποίο βλέπουν – και αγγίζουν – το ανθρώπινο σώμα.

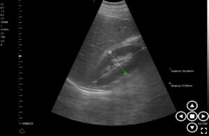
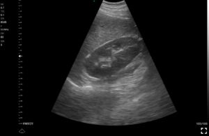
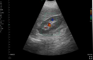
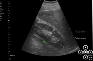
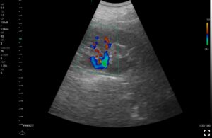
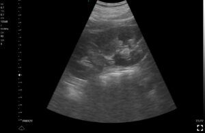
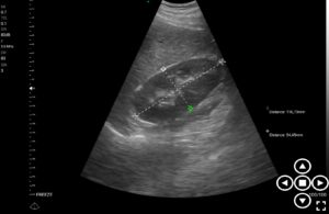
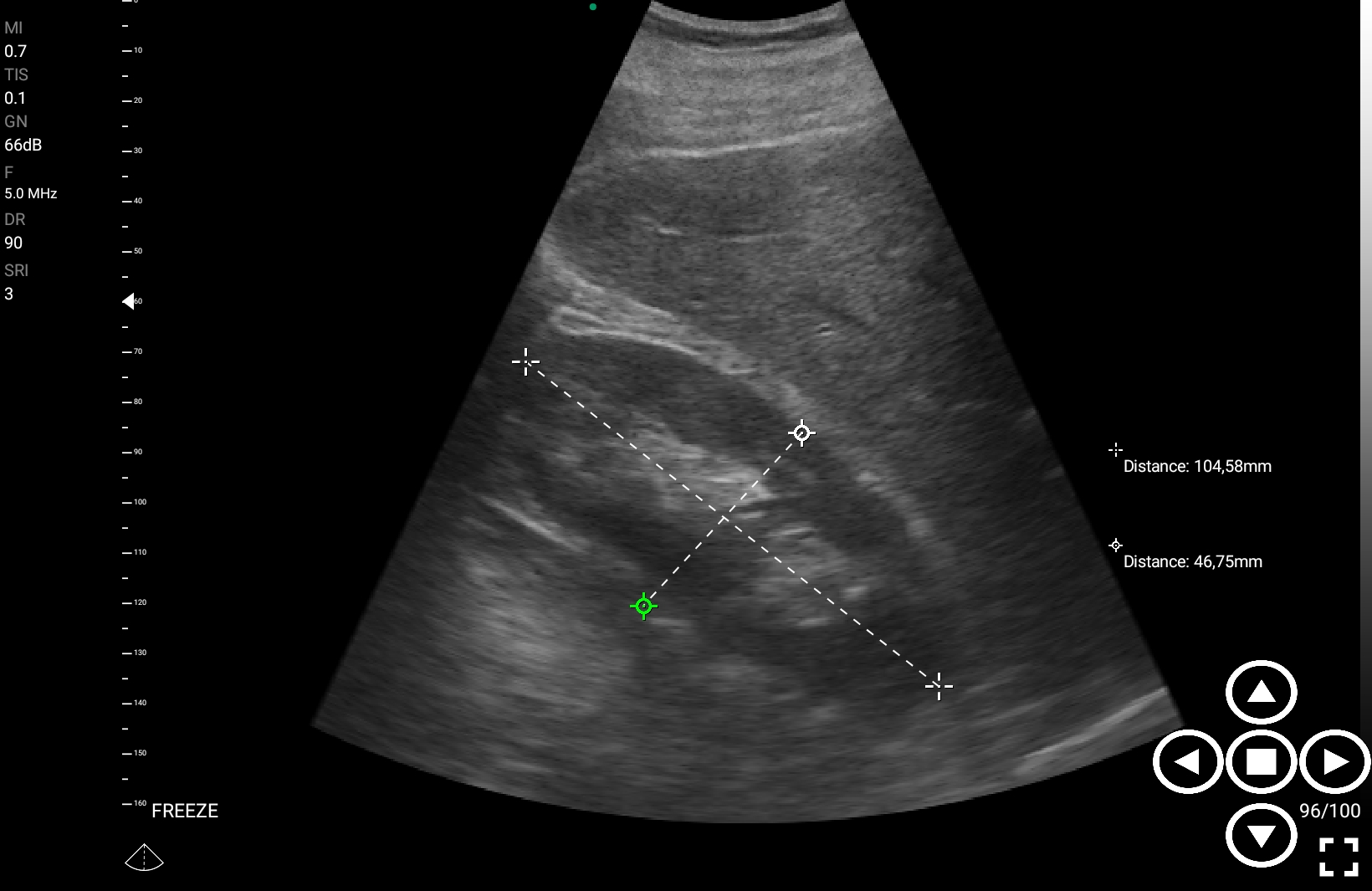
Παραδείγματα

Ολες οι παραπάνω απεικονιστικές εξετάσεις έχουν ληφθεί από φορητή συσκευή όπως: Apple Iphone, Tablet, Samsung Mobile Phones και διάφορες άλλες φορητές συσκευές.

Πλεονεκτήματα

Οι ασύρματες κεφαλές υπερηχογραφίας MedBridge Echo Wave αποτελούν ένα εξαιρετικά χρήσιμο εργαλείο για τον σύγχρονο πλαστικό χειρουργό, προσφέροντας άμεση, υψηλής ευκρίνειας απεικόνιση στο σημείο φροντίδας.

Η φορητότητα και η ταχύτητα χρήσης της επιτρέπουν την αποτελεσματική διαχείριση επειγόντων περιστατικών, την υποστήριξη επεμβατικών πράξεων και την εφαρμογή σε συνθήκες τηλεϊατρικής, ενισχύοντας τη διαγνωστική ακρίβεια και βελτιώνοντας τη λήψη θεραπευτικών αποφάσεων.

Παρακάτω είναι οι βασικοί λόγοι για τους οποίους αξίζει ένας ακτινολόγος να τη χρησιμοποιήσει:
  • Φορητότητα & Ευκολία Χρήσης
  • Μικρό μέγεθος & ελαφρύς σχεδιασμός
  • Εύκολη μεταφορά
  • Μείωση κόστους: Φθηνότερο από παραδοσιακούς υπερηχογράφους
  • Δυνατότητα τηλεϊατρικής με άμεσο διαμοιρασμό εικόνων για απομακρυσμένη διάγνωση
  • Αμεσότητα & Διάγνωση σε πραγματικό χρόνο.
  • Ιδανική για χρήση εκτός νοσοκομείου / ιατρείου.
  • Ιδανική για χρήση κατ’ οίκον επίσκεψης
  • Μεγάλη αυτονομία με μεγάλης χωρητικότητας επαναφορτιζόμενη μπαταρία
  • Ασύρματη λειτουργία δίχως καλώδια και περίπλοκα συστήματα
  • Διασύνδεση με οποιοδήποτε smartphone, tablet, χωρίς περίπλοκες ρυθμίσεις (Plug N Play).
  • Γρήγορη και εύκολη λειτουργία χειρισμών
  • Εύκολη συντήρηση & ενημερώσεις λογισμικού
  • Διασύνδεση DICOM και Cloud
  • Εύκολη χρήση σε δύσκολες συνθήκες όπως: απομακρυσμένες περιοχές, καταστάσεις έκτακτης ανάγκης, γήπεδα κλπ. Αντί να μετακινείς τον ασθενή στο υπερηχογραφικό εργαστήριο, πραγματοποιείς την εξέταση επί τόπου
  • Γρήγορη διάγνωση στο σημείο φροντίδας.
  • Διάγνωση σε κρίσιμες καταστάσεις όπως FAST Scan Έλεγχος εσωτερικής αιμορραγίας μετά από τραύμα.
  • Lung Ultrasound: Ανίχνευση πνευμονικού οιδήματος ή πνευμοθώρακα.
  • Echocardiography: Ταχεία εκτίμηση της καρδιακής λειτουργίας σε ασθενείς με υπόταση ή ανακοπή.
  • Ενσωμάτωση AI για αυτόματες μετρήσεις (αναμένεται σε νέες εκδόσεις)
  • Χρήση νέων τεχνολογιών
  • Αποφασίζεις γρήγορα αν ο ασθενής χρειάζεται επείγουσα αγωγή ή επεμβατικές παρεμβάσεις
  • Αύξηση της διαγνωστικής ιατρικής εργασίας
  • Αύξηση της ποιότητας και του επιπέδου του γιατρού
  • Υψηλό κόστος απόδοσης επένδυσης

Παραδείγματα Video

Ολες οι παραπάνω απεικονιστικές εξετάσεις έχουν ληφθεί από φορητή συσκευή όπως: Apple Iphone, Tablet, Samsung Mobile Phones και διάφορες άλλες φορητές συσκευές.

Σας ενδιαφέρει ?

Για όλες τις αναλυτικές τεχνικές προδιαγραφές των ασύρματων κεφαλών υπερηχογραφίας, για να λάβετε προσφορά ή να προγραμματίσετε επίδειξη στον χώρο του ιατρείου σας, η ομάδα μας είναι στη διάθεσή σας.

Δείτε όλες τις κεφαλές
MedBridge