Λύσεις Αγγειοχειρουργικής

Φορητές, ασύρματες κεφαλές υπερήχου, υψηλής ανάλυσης για άμεση, ακριβή καρδιολογική διάγνωση παντού.

Διάγνωση χωρίς καλώδια

Οι ασύρματες αγγειοχειρουργικές κεφαλές MedBridge Echo Wave συμβάλλουν στην αύξηση της διαγνωστικής αξιοπιστίας, επιταχύνει τον απεικονιστικό έλεγχο και ενισχύει την κλινική ασφάλεια κατά την εκτέλεση αγγειοχειρουργικών επεμβάσεων.

Η υπερηχογραφία γίνεται φορητή.

Η υπερηχογραφία αποτελεί πλέον αναπόσπαστο εργαλείο στην καθημερινή πρακτική της Αγγειοχειρουργικής, καθώς επιτρέπει την απεικόνιση και λειτουργική αξιολόγηση του αγγειακού συστήματος με μη επεμβατικό, ασφαλή και δυναμικό τρόπο. Ιδιαίτερα στις επεμβατικές και επείγουσες εφαρμογές, η δυνατότητα για φορητή, άμεση και αξιόπιστη απεικόνιση αποκτά καθοριστική σημασία για την πρόληψη επιπλοκών και την έγκαιρη λήψη θεραπευτικών αποφάσεων.

Ολες οι ασύρματες αγγειοχειρουργικές κεφαλές της MedBridge Echo Wave συνιστούν ένα τεχνολογικά προηγμένο, φορητό υπερηχογραφικό εργαλείο, ειδικά σχεδιασμένο για να ανταποκρίνεται στις απαιτήσεις του σύγχρονου αγγειοχειρουργού. Η συσκευή επιτρέπει την εκτίμηση της αγγειακής ανατομίας, την ανάλυση της αιματικής ροής μέσω Doppler υπερηχογραφίας και την άμεση αναγνώριση παθολογικών ευρημάτων, όπως στένωση, απόφραξη, ανευρύσματα ή θρομβώσεις. Η πραγματοποίηση δυναμικών μετρήσεων σε πραγματικό χρόνο συμβάλλει στην ακριβή αξιολόγηση της αιμοδυναμικής κατάστασης και στην παρακολούθηση της αποτελεσματικότητας των θεραπευτικών παρεμβάσεων.

Οι κεφαλές MedBridge Echo Wave ενισχύουν σημαντικά την ακρίβεια κατά τη διενέργεια επεμβατικών πράξεων, όπως η αγγειοπλαστική, η τοποθέτηση καθετήρων, ή η παρακέντηση φλεβών και αρτηριών, ελαχιστοποιώντας τον κίνδυνο ιατρογενών επιπλοκών. Παράλληλα, η δυνατότητα χρήσης της στο σημείο φροντίδας (point-of-care ultrasound – POCUS) ενδείκνυται ιδιαίτερα σε επείγοντα και περιεγχειρησιακά περιβάλλοντα, προσφέροντας ταχύτητα, ευελιξία και αυτονομία.

Η αξιοπιστία, η φορητότητα και η υψηλή ευκρίνεια της απεικόνισης καθιστούν τις κεφαλές MedBridge Echo Wave αναπόσπαστο εργαλείο για τη σύγχρονη αγγειοχειρουργική πρακτική. Συνολικά, η ενσωμάτωσή της στη διαγνωστική και θεραπευτική διαδικασία ενισχύει τη δυνατότητα προσωποποιημένης φροντίδας, βελτιώνει την έκβαση των ασθενών και προάγει μια τεκμηριωμένη, ασφαλή και αποτελεσματική κλινική προσέγγιση στην αντιμετώπιση αγγειακών παθήσεων.

Ακολουθούν οι βασικοί λόγοι για τους οποίους ένας αγγειοχειρουργός πρέπει καθημερινά να χρησιμοποιεί τις ασύρματες κεφαλές MedBridge Echo Wave:

  • Έγκυρη και άμεση διάγνωση παρακολούθηση όλων των αγγειακών παθήσεων
  • Ανίχνευση αθηρωματικών πλάκων και στενώσεων: Η υπερηχογραφία, μέσω της μεθόδου Doppler, μπορεί να βοηθήσει στον εντοπισμό αθηρωματικών πλάκων ή στενώσεων στα αγγεία, ιδίως στις καρωτίδες, τις μασχαλιαίες, τις λαγόνιες και τις λαγόνιες αρτηρίες.
  • Αγγειακές ανωμαλίες: Ανίχνευση παθολογικών καταστάσεων όπως ανευρύσματα, δυσμορφίες ή αρτηριοφλεβικές συρίγγια, που μπορεί να απαιτούν επεμβατική παρέμβαση.
  • Αξιολόγηση της περιφερικής αρτηριακής νόσου (PAD): Ο υπέρηχος επιτρέπει την ανίχνευση περιφερικών αρτηριακών προβλημάτων, όπως στένωση ή απόφραξη, καθώς και την εκτίμηση της σοβαρότητας της νόσου.
  • Εκτίμηση και Καθοδήγηση για Αγγειοχειρουργικές Επεμβάσεις
  • Χειρουργική καθοδήγηση: Σε επεμβάσεις όπως η αγγειοπλαστική ή η τοποθέτηση στεντ, ο υπέρηχος χρησιμοποιείται για να καθοδηγήσει την επέμβαση με ακρίβεια και ασφάλεια, βοηθώντας στον εντοπισμό των περιοχών που χρειάζονται παρέμβαση.
  • Αξιολόγηση της ροής του αίματος: Η υπερηχογραφία Doppler παρέχει άμεσες πληροφορίες για τη ροή του αίματος σε διάφορες περιοχές του σώματος, προσδιορίζοντας τις περιοχές που χρήζουν επεμβατικής αποκατάστασης.
  • Καθοδήγηση στις αναστομώσεις: Κατά τη διάρκεια εγχειρητικών διαδικασιών, η υπερηχογραφία χρησιμοποιείται για να ελέγξει την κατάσταση των αναστομώσεων και να διασφαλίσει τη σωστή ροή του αίματος μετά από τη χειρουργική επέμβαση.
  • Εκτίμηση της Κατάστασης Φλεβών Διαγνωστικός έλεγχος για κιρσούς: Η υπερηχογραφία είναι το χρυσό πρότυπο για την αξιολόγηση της λειτουργικότητας των φλεβών, καθώς εντοπίζει τις φλεβικές ανεπάρκειες ή τις κιρσώδεις φλέβες και την αιτία αυτών των ανωμαλιών (όπως θρόισμα, στένωση ή αποτυχία των φλεβικών βαλβίδων).
  • Αξιολόγηση της φλεβικής θρόισσης: Εντοπισμός θρόισμων ή θροιστικών θρόισμα σε περιοχές όπως τα κάτω άκρα, επιτρέποντας την έγκαιρη διάγνωση και τη λήψη θεραπευτικών μέτρων.
  • Παρακολούθηση Μετά Από Αγγειοχειρουργικές Επεμβάσεις
  • Αξιολόγηση της αποκατάστασης: Η υπερηχογραφία χρησιμοποιείται για να παρακολουθεί την επαναποκατάσταση των αγγείων μετά από επεμβάσεις όπως η αναστόμωση ή η αγγειοπλαστική. Αυτό επιτρέπει την πρώιμη ανίχνευση τυχόν προβλημάτων (π.χ. θρόισμα, περιοχές στένωσης ή αναστάτωσης).
  • Παρακολούθηση του αποτελέσματος των επεμβάσεων: Η συχνή χρήση υπερηχογραφίας μετά από αγγειοχειρουργικές επεμβάσεις μπορεί να βοηθήσει στον εντοπισμό προβλημάτων στην αγγειακή ροή, ώστε να μπορούν να διορθωθούν νωρίς.
  • Γρήγορη και Ακριβής Εκτίμηση Σε Επείγουσες Καταστάσεις
  • Θλάσεις και αιμορραγίες: Η υπερηχογραφία μπορεί να χρησιμοποιηθεί για την άμεση εκτίμηση εσωτερικών τραυματισμών, εντοπίζοντας αιμορραγία ή θλάση σε περίπτωση τραύματος ή επείγουσας κατάστασης.
  • Ανίχνευση αιματώματος ή αγγειακών διαταραχών σε ασθενείς που παρουσιάζουν οξείες καταστάσεις που μπορεί να απαιτούν άμεση επεμβατική θεραπεία.
  • Συμπλήρωμα Άλλων Διαγνωστικών Μεθόδων. Η υπερηχογραφία χρησιμοποιείται σε συνδυασμό με άλλες διαγνωστικές μεθόδους (π.χ. αξονική τομογραφία ή μαγνητική τομογραφία), προσφέροντας μια “πρώτη γραμμή” αξιολόγησης για αγγειακά προβλήματα, καθώς είναι γρήγορη, εύκολη και λιγότερο επεμβατική.
  • Φορητότητα και Ευκολία Χρήσης. Η φορητή κεφαλή υπερηχογραφίας είναι ιδιαίτερα χρήσιμη στην καθημερινή πρακτική του αγγειοχειρουργού, καθώς μπορεί να χρησιμοποιηθεί σε διάφορα περιβάλλοντα (κλινική, χειρουργική αίθουσα ή επείγουσα μονάδα), επιτρέποντας ταχύτερη εκτίμηση και λήψη απόφασης για περαιτέρω θεραπεία.

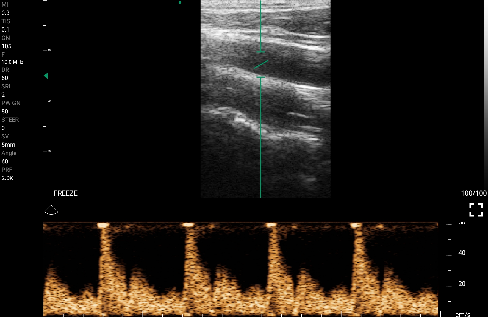
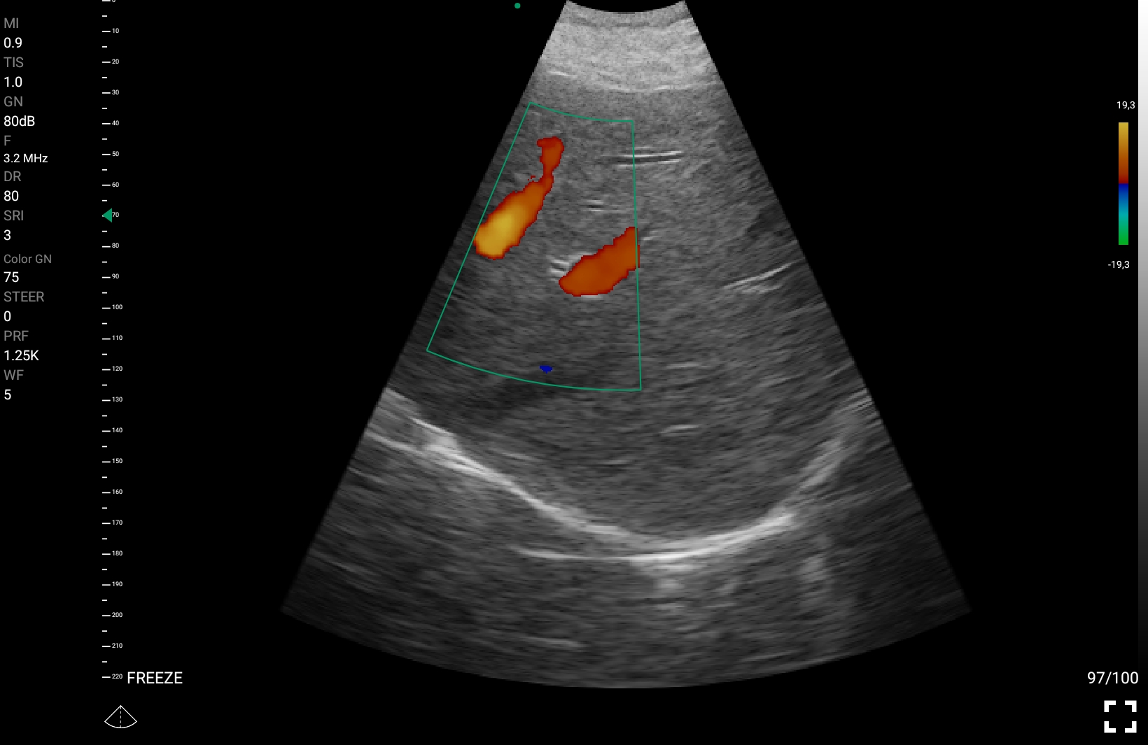
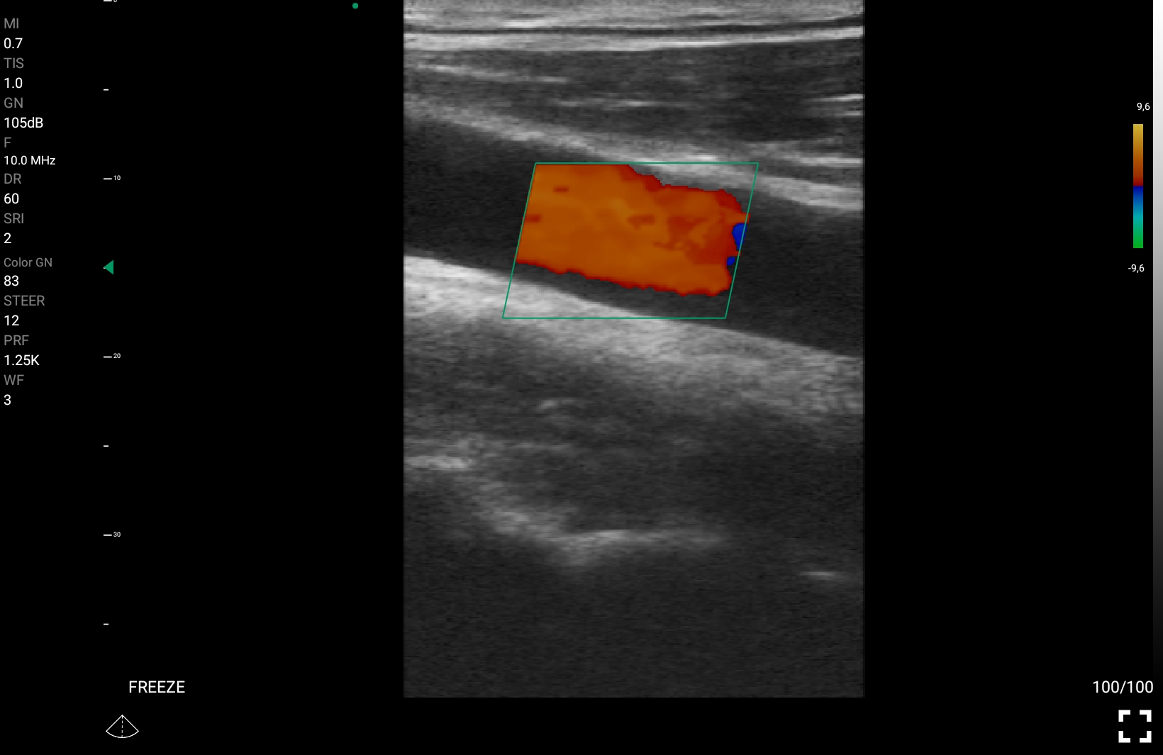
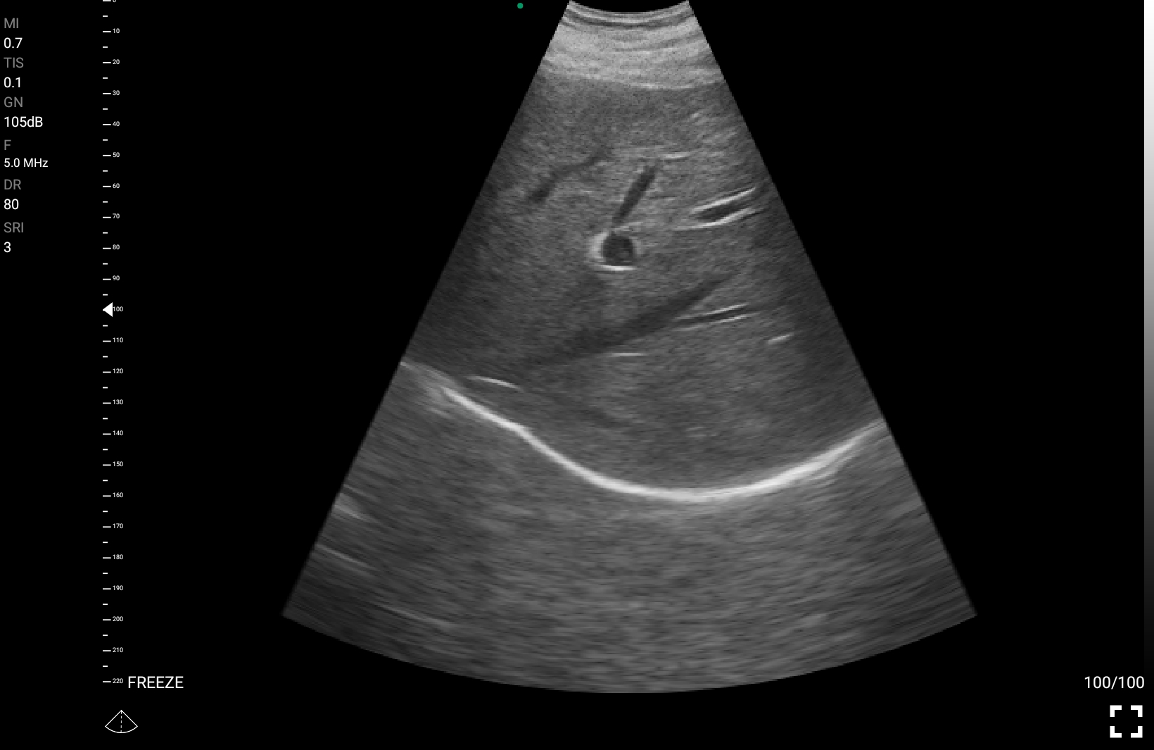
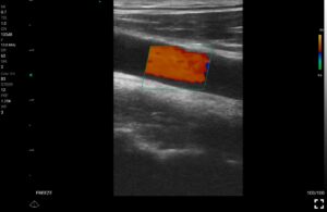
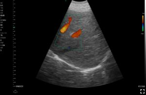
Παραδείγματα

Ολες οι παραπάνω απεικονιστικές εξετάσεις έχουν ληφθεί από φορητή συσκευή όπως: Apple Iphone, Tablet, Samsung Mobile Phones και διάφορες άλλες φορητές συσκευές.

Πλεονεκτήματα

Οι ασύρματες αγγειοχειρουργικές κεφαλές MedBridge Echo Wave αποτελούν καινοτόμο εργαλείο που ενισχύει τη διάγνωση και τη διαχείριση ασθενών, ιδιαίτερα σε επείγουσες καταστάσεις και σε περιοχές χωρίς πρόσβαση σε πλήρη υπερηχογραφικά συστήματα. Χρησιμοποιείται ολοένα και περισσότερο στην επεμβατική ιατρική, την τηλεϊατρική και τη φορητή διάγνωση, φέρνοντας την υπερηχογραφία στο ανώτατο επίπεδο κλινικής φροντίδας. Η επιλογή μιας φορητής ασύρματης υπερηχογραφικής κεφαλής παρέχει σημαντικά πλεονεκτήματα σε πολλές κλινικές εφαρμογές, προσφέροντας ευελιξία, ταχύτητα και άμεση πρόσβαση σε διαγνωστική απεικόνιση.

Παρακάτω είναι οι βασικοί λόγοι για τους οποίους αξίζει ένας αγγειοχειρουργός να τις χρησιμοποιήσει:
  • Φορητότητα & Ευκολία Χρήσης
  • Μικρό μέγεθος & ελαφρύς σχεδιασμός
  • Εύκολη μεταφορά
  • Μείωση κόστους: Φθηνότερο από παραδοσιακούς υπερηχογράφους
  • Δυνατότητα τηλεϊατρικής με άμεσο διαμοιρασμό εικόνων για απομακρυσμένη διάγνωση
  • Αμεσότητα & Διάγνωση σε πραγματικό χρόνο.
  • Ιδανική για χρήση εκτός νοσοκομείου / ιατρείου.
  • Ιδανική για χρήση κατ’ οίκον επίσκεψης
  • Μεγάλη αυτονομία με μεγάλης χωρητικότητας επαναφορτιζόμενη μπαταρία
  • Ασύρματη λειτουργία δίχως καλώδια και περίπλοκα συστήματα
  • Διασύνδεση με οποιοδήποτε smartphone, tablet, χωρίς περίπλοκες ρυθμίσεις (Plug N Play).
  • Γρήγορη και εύκολη λειτουργία χειρισμών
  • Εύκολη συντήρηση & ενημερώσεις λογισμικού
  • Διασύνδεση DICOM και Cloud
  • Εύκολη χρήση σε δύσκολες συνθήκες όπως: απομακρυσμένες περιοχές, καταστάσεις έκτακτης ανάγκης, γήπεδα κλπ. Αντί να μετακινείς τον ασθενή στο υπερηχογραφικό εργαστήριο, πραγματοποιείς την εξέταση επί τόπου
  • Γρήγορη διάγνωση στο σημείο φροντίδας.
  • Διάγνωση σε κρίσιμες καταστάσεις όπως FAST Scan Έλεγχος εσωτερικής αιμορραγίας μετά από τραύμα.
  • Lung Ultrasound: Ανίχνευση πνευμονικού οιδήματος ή πνευμοθώρακα.
  • Echocardiography: Ταχεία εκτίμηση της καρδιακής λειτουργίας σε ασθενείς με υπόταση ή ανακοπή.
  • Ενσωμάτωση AI για αυτόματες μετρήσεις (αναμένεται σε νέες εκδόσεις)
  • Χρήση νέων τεχνολογιών
  • Αποφασίζεις γρήγορα αν ο ασθενής χρειάζεται επείγουσα αγωγή ή επεμβατικές παρεμβάσεις
  • Αύξηση της διαγνωστικής ιατρικής εργασίας
  • Αύξηση της ποιότητας και του επιπέδου του γιατρού
  • Υψηλό κόστος απόδοσης επένδυσης

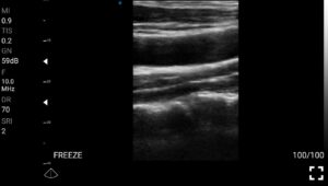
Παραδείγματα Video

Ολες οι παραπάνω απεικονιστικές εξετάσεις έχουν ληφθεί από φορητή συσκευή όπως: Apple Iphone, Tablet, Samsung Mobile Phones και διάφορες άλλες φορητές συσκευές.

Σας ενδιαφέρει ?

Για όλες τις αναλυτικές τεχνικές προδιαγραφές των ασύρματων κεφαλών υπερηχογραφίας, για να λάβετε προσφορά ή να προγραμματίσετε επίδειξη στον χώρο του ιατρείου σας, η ομάδα μας είναι στη διάθεσή σας.

Δείτε όλες τις κεφαλές
Φορητή Κεφαλή Υπερήχου MedBridge Echo Wave LB-10